Ставрополь ваш город?
Да
Выбрать другой город

УЗИ-аппарат
Philips Sparq

В наличии
Ультразвуковая система Philips Sparq упрощает процесс сканирования и интерпретацию ультразвуковых изображений в ОРИТ, позволяя врачу уделять больше внимания пациентам.
В корзине
Лизинг
Доставка и лизинг по всей России
Включая Дагестан, Чечню и Крым
Гарантия
Гарантия на медицинское оборудование от производителя!
Послепродажный сервис
Инженерная поддержка
Инструктаж по монтажу и обучение персонала включены в стоимость
Гибкие условия
Оперативная доставка
Лизинг и доставка оборудования в наличии от 1 рабоего дня

Philips Sparq - это инновационная ультразвуковая система, разработанная специально для работы в отделениях реанимации и интенсивной терапии. Система позволяет врачам сконцентрироваться на пациенте, автоматизируя рутинные процессы настройки и упрощая процедуру сканирования.

Передовые технологии визуализации:

Интеллектуальные технологии обработки изображений:

  • Технология SonoCT объединяет несколько изображений, полученных под разными углами, создавая единое изображение исключительного качества с минимумом артефактов
  • Технология XRES обеспечивает четкость контуров и минимизацию шумов
  • Функция AutoSCAN автоматически определяет тип ткани и оптимизирует усиление изображения в процессе сканирования

Оптимизация для процедур и манипуляций:

Система предлагает специальные функции для повышения точности манипуляций:

  • Усиленная визуализация иглы без потери качества изображения окружающих тканей
  • Метки центральной линии на датчиках L12-4 и C6-2 для упрощения внеплоскостной навигации
  • Экранная сетка и маркеры глубины для точной оценки расстояний
  • Совмещенный вывод изображений M-режима и живого 2D-изображения для улучшенной интерпретации состояния легких

Эргономика и мобильность:

Philips Sparq разработан с учетом специфики работы в ОРИТ:

  • 17-дюймовый монитор на шарнирном кронштейне с регулировкой высоты
  • Интуитивно понятный интерфейс без выступающих элементов управления
  • Герметичная панель управления из высокопрочного стекла для легкой дезинфекции
  • Компактные размеры для максимальной маневренности
  • Работа от аккумулятора с функцией мгновенного включения
  • Держатель кабеля для удобного размещения
  • Опциональный сканер штрих-кодов для быстрого ввода данных пациента

Широкий спектр применения:

Система поддерживает различные виды исследований:

  • ЭхоКГ и чреспищеводная ЭхоКГ
  • Исследования легких
  • Сосудистый доступ
  • FAST-протокол
  • Исследования органов брюшной полости
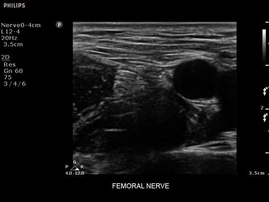
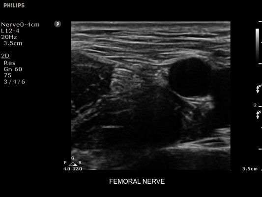
  • Диагностика нервов
  • Офтальмологические исследования
  • Исследования скелетно-мышечной системы
  • Диагностика поверхностно расположенных органов
  • Исследования органов малого таза

Приобретение ультразвуковой системы Philips Sparq

Мы предлагаем комплексное решение для оснащения вашего ОРИТ:

  • Профессиональная консультация по подбору комплектации
  • Оперативная поставка и установка оборудования
  • Обучение персонала работе с системой
  • Гарантийное и постгарантийное обслуживание

Возможности приобретения в лизинг

Для удобства наших клиентов доступны различные варианты финансирования:

  • Индивидуальный расчет графика лизинговых платежей
  • Содействие в подготовке документов
  • Быстрое оформление сделки
  • Выгодные условия финансирования

Получите подробную консультацию и персональное коммерческое предложение на ультразвуковую систему Philips Sparq, позвонив нам по телефону 8 800 700 21 33. Наши специалисты помогут подобрать оптимальную комплектацию для вашего отделения.

Технические характеристики
Диагональ монитора:
17 дюйм
Тип аппарата:
Стационарный
Эластография:
Нет
Класс аппарата:
Высокий
Поддерживаемые датчики:
Матричные
Количество портов:
3
Страна производитель:
Нидерланды
Бренд:
Philips
Категория:
Общая визуализация, Гинекология и акушерство
Доступные опции
Режимы акустической прозрачности 3D:
Нет
Трехмерная реконструкция ЦДК:
Нет
Объемное сканирование:
Нет
Трехмерная реконструкция методом свободной руки:
Да
Эластография сдвиговой волной/Эластометрия:
Нет
Компрессионная эластография:
Нет
Автоматическая подстройка рамки допплера:
Нет
Режим полной автоматизации:
Нет
Недопплеровская визуализация кровотока:
Нет
Тканевой допплер:
Да
Направленный энергетический допплер:
Нет
Энергетический допплер:
Да
Высокочастотный импульсный допплер:
Да
Цветовой допплер:
Да
Постоянно-волновой допплер:
Да
Импульсно-волновой допплер:
Да
Анатомический М-режим:
Да
Панорамное сканирование:
Да
Режим B-сканирования с отклонением угла:
Да
Трапециевидное сканирование/Виртуальный конвекс:
Да
Триплексное сканирование:
Нет
Дуплексное сканирование:
Нет
Цветной M-режим:
Нет
M-режим:
Нет
B-режим, Двухмерное сканирование:
Нет
Область применения
Общая визуализация:
Да
Гинекология:
Да
Компоненты дополнительной поставки
DICOM:
Да
IMT (Intima Media thickness):
Да
B-Steer:
Да
Аккумуляторная батарея:
Да
Подавление зернистости:
Да
ЭКГ модуль:
Да
SonoCT:
Да
XRES:
Да
Онлайн калькулятор
Цена
Ориентировочная цена модели
Аванс
10% 100%
 
Срок лизинга
12 месяцев 36 месяцев
 
Ежемесячный платёж
Первоначальный взнос
* Рассчет платежа носит информационный характер и не является публичной офертой.
Условия лизинга индивидуальны для каждого договора.
Условия лизинга
  • По всей России (Включая Крым, Дагестан и Чечню)
  • Авансовый платеж от 10% (для УЗИ брендов GE, Mindray и Samsung)
  • Оформление лизинга от 48 часов
  • Возможность досрочного погашения
  • Лизинг оборудования от 1 года

  • Высокочувствительный допплер (визуализация микрососудов) - Да
  • Векторное картирование кровотока - Нет
  • Подогреватель геля - Да
  • Цветной допплер (CD) - Да
  • Тканевой допплер (TDI) - Да
  • Разветвитель датчиков у портативных сканеров - Нет
  • Встроенная аккумуляторная батарея - Нет
  • Оценка деформации миокарда (спекл-трекинг) - Да
  • Твердотельный накопитель (SSD) - Нет
  • Импульсно-волновой допплер - Да
  • Высокочастотный импульсный допплер - Да
  • Энергетический допплер - Да
  • Направленный ЭД - Нет
  • Автоматическое определение фракции выброса по Симпсону - Да
  • Типы поддерживаемых датчиков - Монокристаллический, Высокоплотный, Матричный
  • Автоматическая оптимизация изображения - Да
  • Автоматический расчет параметров гемодинамики по допплеровскому спектру (трассировка/оконтуривание спектра) - Да
  • Недопплеровская визуализация кровотока - Нет
  • Стресс-эхокардиография - Да
  • Wi-fi - Нет
  • Улучшение визуализации иглы для линейных датчиков - Да
  • Наклон луча в допплеровских режимах на линейных датчиках В-steer - Да
  • Многолучевое сканирование/компаундинг - Да
  • Подавление зернистости - Да
  • Виртуальный источник освещения при 3D - Да
  • Опция получения трехмерного изображения в режиме цветового допплеровского картирования (трехмерная реконструкция ЦДК) - Да
  • Автоизмерения в 3D режиме - Нет
  • Виды поддерживаемых датчиков - Конвексный, Микроконвексный, Линейный (до 15 МГц), Линейный низкочастотный (до 10 МГц), Линейный высокочастотный (до 18 МГц), Секторный фазированный взрослый, Секторный фазированный педиатрический, Секторный фазированный неонатальный, Полостной конвексный, Объемный полостной, Объемный кардиологический (трансторакальный), Карандашный, Интраоперационный линейный, Чреспищеводный взрослый
  • Класс аппарата - Премиальный
  • Вид эластографии - Компрессионная, Сдвиговая волна
  • Тип устройства - Стационарный
  • Специализация (УЗИ) - Кардиология, Общие исследования, Гинекология и акушерство
  • DICOM - Да
  • Пакет опций 5D - Нет
  • Поддержка исследований с контрастными веществами - Да
  • Поддержка постоянно-волнового доплера (CW) - Да
  • Поддержка цветного доплера (CD) - Да
  • Поддержка тканевого доплера (TDI) - Да
  • Поддержка анатомического М-режима - Да
  • Поддержка технологии Fusion (совмещение изображений на КТ/МРТ с УЗИ) - Да
  • Поддержка объемной визуализации сердца плода (STIC) - Да
  • Поддержка блока ЭКГ - Да
  • Поддержка особых датчиков - Матричные
  • Трапециевидный режим (виртуальный конвекс) - Да
  • Touch Screen - Да
  • Наличие блока объемного сканирования (4D) - Да
  • Трехмерная реконструкция методом "свободной руки" - Да
  • Автоматический расчет толщины комплекса интима-медиа (IMT) - Да
  • Размер экрана, ″ - 20
  • Панорамное сканирование - Да
  • Опция получения трехмерного изображения в режиме цветового допплеровского картирования - Да
  • Программа автоматического измерения основных параметров биометрии плода в акушерстве - Нет
  • Наличие автоматического расчета воротникового пространства - Нет
  • Программы оценки деформации миокарда - Да

Дополнительные опции

Общая визуализация

Подключение к DICOM, Визуализация иглы

  • Линейный УЗИ датчик Philips L12-4
  • Конвексный УЗИ датчик Philips С6-2
  • Конвексный УЗИ датчик Philips C5-1 PureWave
  • Линейный УЗИ датчик Philips L15-7io
  • Конвексный УЗИ датчик Philips C9-4v
  • Секторный УЗИ датчик Philips S4-2
  • Матричный УЗИ датчик Philips X7-2
Давайте обсудим
Покупку или лизинг
медицинского оборудования