Ставрополь ваш город?
Да
Выбрать другой город

УЗИ-аппарат
GE Voluson E10

В наличии
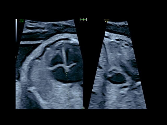
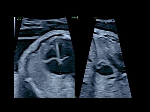
УЗИ-аппарат GE VOLUSON E10 является непревзойденным достижением в области диагностической медицины, акушерства и гинекологии. Эта система предназначена для экспертов отрасли и является премиальным продуктом своего класса. GE VOLUSON E10 устанавливает новые стандарты в диагностике женского здоровья, обеспечивая потрясающую точность и эффективность диагностики.
Лизинг
Доставка и лизинг по всей России
Включая Дагестан, Чечню и Крым
Гарантия
Гарантия на медицинское оборудование от производителя!
Послепродажный сервис
Инженерная поддержка
Инструктаж по монтажу и обучение персонала включены в стоимость
Гибкие условия
Оперативная доставка
Лизинг и доставка оборудования в наличии от 1 рабоего дня

GE VOLUSON E10 обеспечивает поразительную скорость работы благодаря передовой архитектуре системы Voluson Radiance System Architecture (RSA), а качество изображения и достоверность результатов диагностики ставят его вне конкуренции.

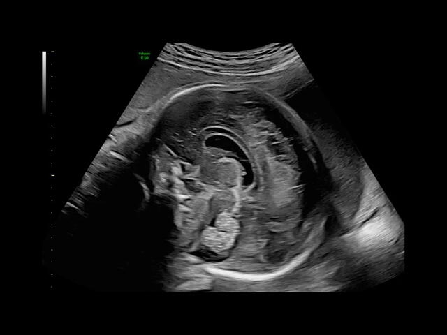
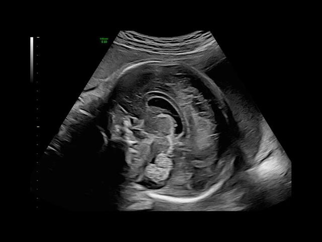
Следуя современным технологическим трендам, GE предлагает рынку Voluson E10, который легко автоматизирует повторяющиеся операции и протоколы исследования с помощью функции сканирования ScanAssistant. Автоматическое определение плода в режиме 3D (SonoRenderLive) позволяет существенно сократить время и получать качественные изображения конечностей и лица плода в режимах 3D без артефактов и помех.

Невероятное качество визуализации достигается благодаря программному алгоритму формирования ультразвукового луча, обладающего максимальной глубиной проникновения. Мощный процессор оперативно получает и обрабатывает 3D/4D-информацию в реальном времени.

Система GE VOLUSON E10 обладает рядом преимуществ:

  • Выявление различных патологий при обследовании женщин.
  • Повышение эффективности и производительности рабочего процесса.
  • Предоставление превосходного качества визуализации.
  • Удовлетворение текущих потребностей и расширение спектра оказываемых услуг.

В рамках премиум-технологий, GE VOLUSON E10 предлагает инновационную технологию визуализации HDlive, которая обеспечивает получение реалистических изображений и повышает достоверность клинической оценки. Режим HDlive дополняют две новые функции:

  • Технология HDlive Silhouette: задает разный уровень прозрачности, что помогает выявлять контуры внутренних структур и точнее оценивать состояние плода в первом триместре.
  • Технология HDlive Flow: повышает реалистичность визуализации сосудистых структур и улучшает восприятие глубины по сравнению с традиционным цветовым доплером и функцией HD-Flow.

Другие важные возможности включают усовершенствованный режим объемной визуализации с контрастированием (Volume Contrast Imaging, VCI) и опцию OmniView, а также функцию SonoRenderlive, улучшающую объемную визуализацию за счет автоматического определения линии начала реконструкции при изображении поверхностей.

GE VOLUSON E10 также предлагает автоматизацию с помощью следующих функций:

  • SonoBiometry: быстрые биометрические измерения в полуавтоматическом режиме.
  • SonoNT и SonoIT: полуавтоматические стандартные измерения плода в первом триместре.
  • SonoVCAD heart: формирование изображений сердца плода в соответствии с международными рекомендациями.
  • SonoAVC: инновационный инструмент для визуализации и измерения гипоэхогенных структур и выполнения соногистерографии.

GE VOLUSON E10 предлагает медицинским специалистам передовые возможности в диагностике и оказании помощи женщинам, а также обеспечивает высококачественную визуализацию и точность результатов.

Купить УЗИ ультразвуковую диагностическую систему Volusion E10

Компания Medicray с удовольствием предоставит вам выгодное коммерческое предложение на приобретение данного оборудования. Мы специализируемся на поставках медицинского оборудования в различные медицинские учреждения и гарантируем высокое качество продукции, своевременные поставки и оптимальные цены.

Мы также предлагаем возможность приобретения оборудования в лизинговой форме совместно с несколькими лизинговыми компаниями. Процесс приобретения в лизинг прост и удобен:

  • Оставьте заявку на нашем сайте или свяжитесь с нами по телефону 8 800 700 21 33.
  • Наш менеджер подготовит для вас предложение на оборудование и предоставит график платежей.
  • Вы получаете одобрение от выбранной лизинговой компании и заключаете договор лизинга.
  • Лизинговая компания приобретает выбранное оборудование и передает его вам в лизинг.
  • Вы начинаете использовать медицинское оборудование.
  • Вы регулярно вносите лизинговые платежи, а по окончании договора оборудование переходит в вашу собственность.

Не упустите возможность получить выгодную цену и лучшие условия финансирования. Звоните нам уже сейчас по телефону 8 800 700 21 33 и оставьте заявку на коммерческое предложение по аппарату Volusion E10. Цены могут увеличиться в будущем!

Технические характеристики
Диагональ монитора:
23 дюйм
Диагональ командной сенсорной панели:
12 дюйм
Жесткий диск:
512 ГБ
Тип аппарата:
Стационарный
Эластография:
Компрессионная, Сдвиговая
Класс аппарата:
Премиальный
Поддерживаемые датчики:
Матричные
Количество портов:
4
Страна производитель:
США
Бренд:
GE Healthcare
Категория:
Общая визуализация, Гинекология и акушерство
Доступные опции
Режимы акустической прозрачности 3D:
Нет
Трехмерная реконструкция ЦДК:
Да
Объемное сканирование:
Нет
Трехмерная реконструкция методом свободной руки:
Да
Эластография сдвиговой волной/Эластометрия:
Да
Компрессионная эластография:
Да
Автоматическая подстройка рамки допплера:
Нет
Режим полной автоматизации:
Нет
Недопплеровская визуализация кровотока:
Нет
Тканевой допплер:
Да
Направленный энергетический допплер:
Да
Энергетический допплер:
Да
Высокочастотный импульсный допплер:
Нет
Цветовой допплер:
Да
Постоянно-волновой допплер:
Да
Импульсно-волновой допплер:
Да
Анатомический М-режим:
Да
Панорамное сканирование:
Да
Режим B-сканирования с отклонением угла:
Да
Трапециевидное сканирование/Виртуальный конвекс:
Да
Триплексное сканирование:
Нет
Дуплексное сканирование:
Нет
Цветной M-режим:
Нет
M-режим:
Нет
B-режим, Двухмерное сканирование:
Нет
Область применения
Общая визуализация:
Да
Гинекология:
Да
Компоненты дополнительной поставки
DICOM:
Да
IMT (Intima Media thickness):
Да
B-Steer:
Да
STIC:
Да
Подавление зернистости:
Да
ЭКГ модуль:
Да
SonoVCAD labor:
Да
VOLUME CALCULATION II:
Да
Volume-SRI:
Да
Volume Contrast Imaging:
Да
SonoAVC:
Да
Advanced 4D:
Да
Онлайн калькулятор
Цена
Ориентировочная цена модели
Аванс
10% 100%
 
Срок лизинга
12 месяцев 36 месяцев
 
Ежемесячный платёж
Первоначальный взнос
* Рассчет платежа носит информационный характер и не является публичной офертой.
Условия лизинга индивидуальны для каждого договора.
Условия лизинга
  • По всей России (Включая Крым, Дагестан и Чечню)
  • Авансовый платеж от 10% (для УЗИ брендов GE, Mindray и Samsung)
  • Оформление лизинга от 48 часов
  • Возможность досрочного погашения
  • Лизинг оборудования от 1 года

Базовая концигурация системы

  • Цветной ЖК OLED монитор 22" с высоким разрешением, контрастностью и качественной цветопередачей.
  • Вывод изображения на экране в увеличенном формате (XL-формат).
  • Цветной емкостной сенсорный экран с диагональю свыше 12 дюймов - высокочувствительный тактильный пользовательский интерфейс с поддержкой навигации по меню жестами.
  • 4 активных порта для датчиков.
  • Встроенный жесткий диск 500 ГБ.
  • Пишущий дисковод DVD+/-R(W).
  • Эргономичный дизайн, изменение положения панели управления.
  • Система управления данными пациентов.
  • Программируемые пользователем готовые наборы параметров настройки.
  • Автоматическая оптимизация изображения во всех режимах сканирования (ATO).
  • Тканевой допплер.
  • Высокочувствительный допплер (HD-Flow).
  • Постоянно-волновой допплер (CWD).
  • Реалистичный объёмный кровоток в режиме ЦДК (Radiantflow).
  • Режим увеличенного разрешения и дифференциации тканей (HDres).
  • Панорамное сканирование (XTD View).
  • Многолучевое сложносоставное сканирование (CRI).
  • Органоспецифичный режим подавления артефактов (SRI).
  • Программа объемной визуализации плода классический HD-Live + расширенный пакет Hdlive Silhouette и Studio:
    • HDlive Flow - перемещаемый источник света, совместимый с визуализацией кровотока в 3D.
    • HDlive Silhouette - режим "Силуэт" с подчеркиванием границ тканей и объектов, "объем в объеме".
    • HDlive Flow Silhouette - режим "Силуэт" с выделением границ полостей сердца и сосудов, совместимый с визуализацией кровотока.
    • HDlive Studio - три независимих источника освещения с регулировкой интенсивности.
  • Программа 3D и режим инверсии (при наличии специализированных датчиков).
  • Кодированная посылка импульса (Coded Excitation - CE).
  • Многофокусная обработка сигнала (Focus Frequency Composite - FFC).
  • Программы расчетов и отчетов.
  • Недопплеровская визуализация кровотока в B-режиме (B-Flow).
  • ScanAssistant - помощник сканирования, автоматизирующий повторяющиеся операции и протоколы исследования.
  • Автоматический расчет толщины воротникового пространства (SonoNT) и размера IV желудочка (SonoIT).
  • Автоматическое измерение основных фетометрических показателей - БПР, ОГ, ОЖ, ДБ, ДП (SonoBiometry).
  • Автоматическое определение плода в режиме 3D (SonoRenderLive) – позволяет значительно экономить время и получать изображение конечностей и лица плода в режимах 3D без артефактов и помех – система автоматически определяет границы конечностей и лица плода и выстраивает объемное изображение.
  • RePro - воссоздание условий сканирования для динамического наблюдения за пациентом - система автоматически загружает все настройки сканирования и подключает необходимый датчик.
  • Поддержка стандарта DICOM.

Компоненты дополнительной поставки

Программные опции

  • Программная опция поддержки видеозаписи на DVD и USB-носители в реальном режиме времени - параллельно с проводимым исследованием.
  • Программный пакет для проведения исследований с контрастными веществами. Поддерживается датчиками: C1-5, 9L, ML6-15, RIC5-9.
  • Анатомический М-режим.
  • Программа качественной и количественной эластографии. Поддерживается датчиками: 11L, ML6-15, IC5-9, RIC5-9.
  • Advanced 4D - расширенный пакет 4D для механических объемных датчиков RM6C, RIC5-9, RIC6-12, RSP6-16:
    • Режим 4D - трехмерное сканирование в реальном масштабе времени.
    • Томографический ультразвук (TUI).
    • Объемное контрастирование прямой плоскости - Basic VCI (VCI-A + VCI static).
    • Активирует SonoRenderLive в 4D.
  • E4D advanced - расширенный пакет электронного 4D ультразвука (e4D) для электронного объемного датчика eM6C:
    • Режим 4D - трехмерное сканирование в реальном масштабе времени с ультравысокой частотой кадров.
    • Режим бипланового сканирования Bi-Plane в В-режиме и ЦДК.
    • Электронный STIC - eSTIC.
    • Объемное контрастирование плоскости сканирования VCI-A.
  • Advanced VCI (Volume Contrast Imaging) - расширенный программный пакет объемного контрастного изображения (VCI) для механических и электронных объемных датчиков:
    • Проведение любой произвольной плоскости в 3D/4D (OmniView).
    • Объемное контрастирование любой произвольной плоскости (OmniView+VCI).
    • Регулировка толщины и формы коронарного среза в 3D/4D (получение коронарной плоскости в 3D/4D, например, для оценки мозолистого тела - автоматическая функция "Corpus Callosum".
  • Advanced STIC - расширенный программный пакет для исследования сердца плода в режиме 4D для механических и электронных объемных датчиков:
    • Использование цветного, энергетического допплера, В Flow - режим STIC.
    • Сочетание с М-режимом - STIC-M-Mode.
    • Перемещаемый источник света - STICflow.
    • SonoVCADHeart - программное обеспечение для исследования сердца плода в режиме 3D/4D (быстрый доступ к плоскостям сканирования) по рекомендациям ISUOG.
  • V-SRI (Volume-SRI) - программное обеспечение для снижения количества артефактов при формировании объемного изображения. Поддерживается датчиками RM6C, RIC5-9, RIC6-12.
  • VOLUME CALCULATION II (VOCAL, Virtual Organ Computer Aided Analysis) – программное обеспечение для полуавтоматического определения контуров структур и расчета их объема в режиме объемной реконструкции для механических и электронных объемных датчиков.
  • SonoAVC (Sonography based Automated volume Count аnalysis) - программа для автоматического расчета размеров и объема анэхогенных образований/структур в режиме объемной реконструкции. Включает программу для расчета фолликулов и программу для расчета других анэхогенных структур для механических и электронных объемных датчиков.
  • SonoVCAD labor - программное обеспечение для исследования во втором периоде родов для механических и электронных объемных датчиков.
  • 4D View PC - программное обеспечение для для анализа и обработки полученных трехмерных и четырехмерных данных для второй рабочей станции, электронное руководство пользователя для 4DView.

Аппаратные опции и принадлежности

  • Модуль ЭКГ для синхронизации изображения с ЭКГ.
  • Ножной переключатель.
  • Изоляционный трансформатор для подключения внешних устройств (мониторы и пр.).
  • USB mодуль для беспроводной связи аппарата с компьютерными сетями.
  • Держатель внутриполостного датчика, дополнительный справа.

  • Конвексный датчик GE 4C-D
  • Конвексный датчик C1-5-D
  • Конвексный датчик C4‑8‑D
  • Секторный фазированный датчик GE 3SP-D
  • Секторный фазированный датчик S4-10-D
  • Линейный ультразвуковой датчик GE 11L-D
  • Ультразвуковой линейный датчик 9L-D
  • Матричный линейный датчик GE ML6-15-D
  • Внутриполостной микроконвексный датчик GE RIC5-9-D
  • Мультичастотный (4D) микроконвексный вагинальный датчик GE RIC6-12-D
  • Мультичастотный объемный (4D) матричный конвексный датчик GE RM6C
  • Мультичастотный матричный объемный конвексный датчик GE RAB2-5-D
  • Конвексный электронный матричный объемный датчик eM6C
  • Мультичастотный объемный (4D) линейный датчик GE RSP-6-16-D
  • Конвексный датчик C1-6-D
  • Монокристальный мультичастотный конвексный датчик GE C2-9-D
  • Матричный фазированный секторный датчик M5Sc-D
  • 3D/4D конвексный ультразвуковой датчик GE RAB6-D
Давайте обсудим
Покупку или лизинг
медицинского оборудования