Ставрополь ваш город?
Да
Выбрать другой город

МРТ аппарат GE SIGNA PET/MR 3.0T

В наличии
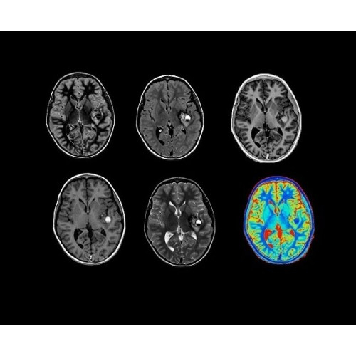
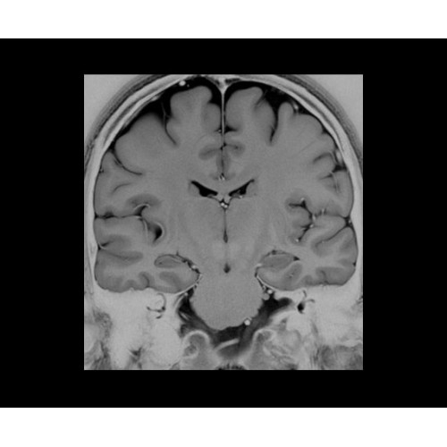
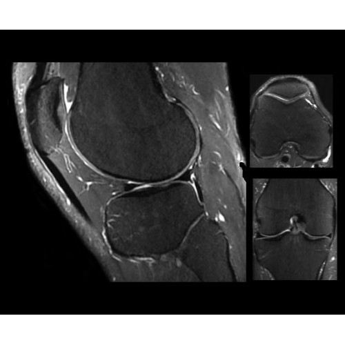
SIGNA PET/MR 3.0T — это гибридная система, в которой совмещаются две принципиально разные технологии — магнитно-резонансную томографию (МРТ) и позитронно-эмиссионную томографию (ПЭТ). Система отличающийся высокой чувствительностью и эффективностью и предназначена для диагностики в области онкологии, неврологии, кардио-васкулярных исследований, исследований воспалительных процессов.
В корзине
Лизинг
Доставка и лизинг по всей России
Включая Дагестан, Чечню и Крым
Гарантия
Гарантия на медицинское оборудование от производителя!
Послепродажный сервис
Инженерная поддержка
Инструктаж по монтажу и обучение персонала включены в стоимость
Гибкие условия
Оперативная доставка
Лизинг и доставка оборудования в наличии от 1 рабоего дня

Компания GE Healthcare представляет революционную, полностью интегрированную систему SIGNA PET/MR1, в которой сочетаются времяпролетная технология (TOF) и возможности напряженности магнитного поля 3.0 Тл. Мы поможем вам поднять исследования на более высокий уровень. SIGNA PET/MR позволяет достичь впечатляющей точности и скорости исследований, а благодаря новейшей технологии реконструкции Q.Clear2 качество изображений улучшается в два раза. Кроме того, в систему включен полный набор клинических приложений и гибких катушек для проведения любых видов исследования, открывая для вас возможности визуализации, о которых вы даже не догадывались.

Используйте весь диагностический потенциал TOF

В систему SIGNA PET/MR встроены запатентованные детекторы кремниевого фотоумножителя (SiPM) и сверхчувствительные кристаллические сцинтилляторы на основе лютеция толщиной 25 мм. Благодаря этому обеспечивается исключительная чувствительность и возможность использования времяпролетной диагностики (TOF).

Кроме того, в результате использования технологии TOF и инновационной технологии реконструкции Q.Clear вы сможете добиться прекрасного соотношения сигнал/шум. А благодаря технологии нулевого времени эхо (ZTE) визуализировать костную структуру без ионизирующего излучения. Все эти разработки для улучшения качества сканирования и точности анализа помогут вам использовать весь потенциал ПЭТ/МРТ.

  • Легкий герметичный радиочастотный экран с медным покрытием.
  • Современные кристаллический сцинтилляторы на основе лютеция (LBS) с усовершенствованными спектральными отражателями (ESR).
  • Кремниевые фотоэлектронные умножители (SiФЭУ).
  • Термопроводящая подкладка.
  • Алюминевая монтажная пластина.

Впечатляющие клинические возможности

Система SIGNA PET/MR предлагает впечатляющие клинические возможности и открывает доступ к наиболее полным пакетам программных приложений.

  • TurboTOF — инновационная технология позволяет корректировать коэффициент затухания сигнала и минимизировать потери анатомических данных, создавая МР-систему для количественной визуализации.
  • Q.Clear — в основу технологии легли накопленные знания о том, как минимизировать помехи при реконструкции и получить четкое изображение. При значительном улучшении качества изображения сохраняется точность расчетов. Сочетание технологии TOF и реконструкции Q.Clear — ваш надежный помощник для получения точных и достоверных данных.
  • МРТ с функцией нулевого времени эхо (ZTE) отличается точностью, возможностью персональных настроек и отсутствием ионизирующего излучения. Она приходит на смену традиционному исследованию на основе рентгеновского излучения. МРТ с функцией нулевого времени эхо (ZTE) на базе SIGNA ПЭТ/МРТ является более надежной и быстрой по сравнению с системами, использующими сверхмалое время эхо (UTE).
  • Приложения для коррекции артефактов движения — используйте наиболее широкий набор инструментов, таких как PROPELLER, PROMO и навигаторы Pencil Beam, позволяющих снизить влияние непроизвольных или физиологических движений на качество изображений.

SIGNA Works

Новейшая платформа SIGNA Works4 повышает производительность ключевых технологий визуализации GE Healthcare. SIGNA Architect поставляется с предустановленными стандартными приложениями. Расширенные функции SIGNA Works с возможностью обновления позволят устанавливать новые приложения в соответствии с растущими потребностями вашей клинической практики.

Стандартный пакет приложений SIGNA Works позволит вам достичь желаемых результатов в клинической практике благодаря набору высокоэффективных средств визуализации. Программные приложения, входящие в состав данных клинических пакетов, включают широкий спектр контрастов, функции обработки 2D- и 3D-данных, а также возможность коррекции артефактов движения. SIGNA Works предоставляет набор инструментов, необходимых для проведения эффективного клинического исследования.

Новые возможности

В системе SIGNA PET/MR есть все инструменты, необходимые для выявления маркеров разных заболеваний и для создания новых протоколов. ПЭТ/МРТ можно использовать совместно с мультиядерной спектроскопией в лаборатории in vivo для изучения быстрых биохимических процессов. Кроме того, PET ToolBox и набор инструментов Orchestra предоставляют персональный доступ к функциям реконструкции изображений для ПЭТ и МРТ, ускоряя и упрощая работу с необработанными данными.

  • Orchestra — получайте прямой доступ к необработанным данным изображений для редактирования в среде реконструкции с SIGNA PET/MR.
  • PET ToolBox — разрабатывайте новые методики ПЭТ с помощью наших программных инструментов для доступа к среде реконструкции ПЭТ-изображений.
  • Специальный пакет приложений для измерения и сравнения объемных изображений ЦНС с нормами поможет вам в диагностике нейродегенеративных заболеваний, а дополнительные инструменты визуализации — в постановке точного диагноза с помощью бета-амилоидов и радиоизотопных маркеров ФДГ.
  • In vivo лаборатория — получайте полные данные биохимических процессов in vivo с мультиядерной спектроскопией на SIGNA PET/MR.
Характеристики
Мощность:
3.0 тесла
Общие
Категория:
МРТ-аппараты, Полуоткрытые аппараты МРТ, МРТ аппараты для животных
Бренд:
GE Healthcare
Онлайн калькулятор
Цена
Ориентировочная цена модели
Аванс
10% 100%
 
Срок лизинга
12 месяцев 36 месяцев
 
Ежемесячный платёж
Первоначальный взнос
* Рассчет платежа носит информационный характер и не является публичной офертой.
Условия лизинга индивидуальны для каждого договора.
Условия лизинга
  • По всей России (Включая Крым, Дагестан и Чечню)
  • Авансовый платеж от 10% (для УЗИ брендов GE, Mindray и Samsung)
  • Оформление лизинга от 48 часов
  • Возможность досрочного погашения
  • Лизинг оборудования от 1 года

Тип МРТ открытый
Магнит сверхпроводящий
Рабочая напряженность магнитного поля 3Тл
Максимальная напряженность градиентного поля 44мТ/м
Максимальная скорость нарастания 200Т/м/c
Полезрения 45см
Туннель 60см
Система охлаждения жидкий гелий. Выкипание - 0,03л/час. Дозаправка 1раз в 4 года
Рабочая частота 127.7МГц
Давайте обсудим
Покупку или лизинг
медицинского оборудования